Valvulopathy - Hypertrophic Obstructive Cardiomyopathy

← Back to List

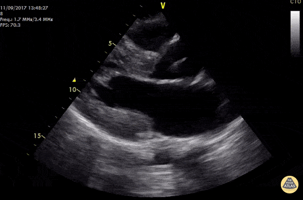
Valvulopathy - Hypertrophic Obstructive Cardiomyopathy

Caption

WCUME 2017 Submission for "Creative Caption" - "Uncle SAM" 19 year old male out of hospital cardiac arrest s/p ROSC. POCUS shows hypertrophic interventricular septum with systolic anterior motion of the mitral valve (SAM) causing LVOT obstruction. LVOT gradient was measured at 118 mmHg and AICD was fitted during hospital stay. Treatment for HCM usually recommended if: SAM lesion visualized, IVS >18mmm, LVOT gradient > 30mmHg. Cian McDermott, MD

Source

https://www.thepocusatlas.com/valvulopathy


Metadata