Valvulopathy - Left Ventricular Outflow Tract Obstruction

← Back to List

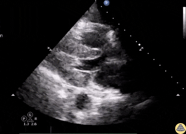
Valvulopathy - Left Ventricular Outflow Tract Obstruction

Caption

Septic patient with hypotension shows LVOT obstruction with systolic anterior motion of the mitral valve on echo. Image courtesy of Robert Jones DO, FACEP @RJonesSonoEM Director, Emergency Ultrasound; MetroHealth Medical Center; Professor, Case Western Reserve Medical School, Cleveland, OH View his original post here

Source

https://www.thepocusatlas.com/valvulopathy


Metadata