Valvulopathy - Mitral Clip

← Back to List

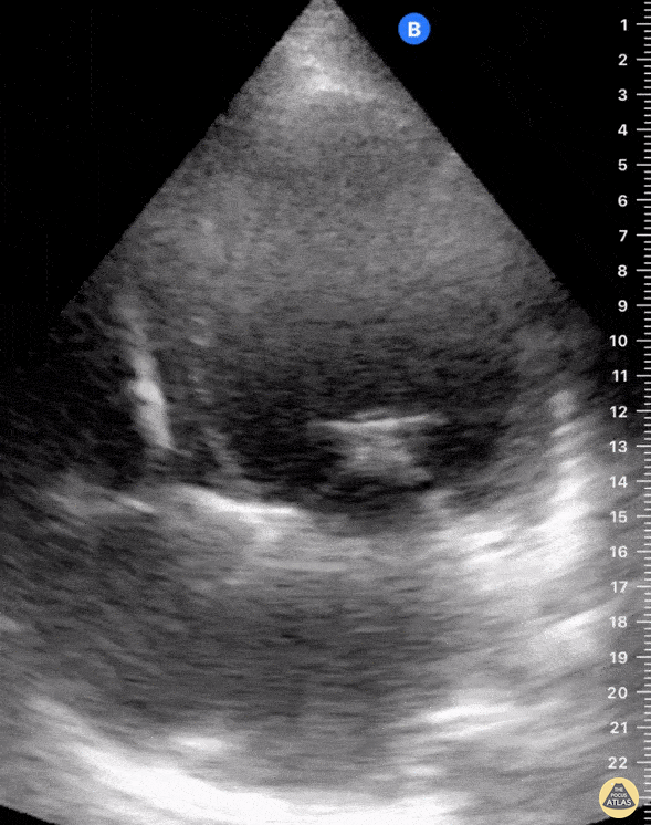
Valvulopathy - Mitral Clip

Caption

A 54-year-old man with history of dilated cardiomyopathy on maximum tolerated doses of guideline directed medical therapy and implantable cardioverter defibrillator presented with progressively worsening dyspnea with minimal activity. Transthoracic ultrasonography showed evidence of severe functional mitral regurgitation for which he underwent mitral clip placement (seen here). This point of care ultrasound was obtained during a clinic follow up when he reported sustained resolution of symptoms; there was also no appreciable mitral regurgitant jet on color doppler. Shahad Al Chalaby, MD (PGY3) @shahad_Chalaby Alameda Health System Internal Medicine Residency Program Oakland, California

Source

https://www.thepocusatlas.com/valvulopathy


Metadata