Valvulopathy - Tricuspid Valve Regurgitation

← Back to List

Valvulopathy - Tricuspid Valve Regurgitation

Caption

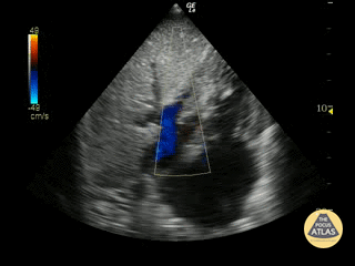
Subcostal View demonstrating mild tricuspid regurgitation Justin Bowra MBBS, FACEM, CCPU Emergency Physician, RNSH et al.

Source

https://www.thepocusatlas.com/valvulopathy


Metadata