Valvulopathy - Tricuspid Valve Regurgitation
Caption
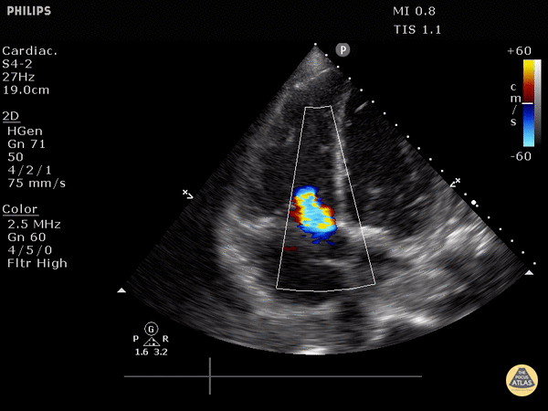
Moderate to severe tricuspid regurgitation demonstrated on apical 4 chamber view. Justin Bowra MBBS, FACEM, CCPU Emergency Physician, RNSH et al. (Dr. Kaynama)
Moderate to severe tricuspid regurgitation demonstrated on apical 4 chamber view. Justin Bowra MBBS, FACEM, CCPU Emergency Physician, RNSH et al. (Dr. Kaynama)