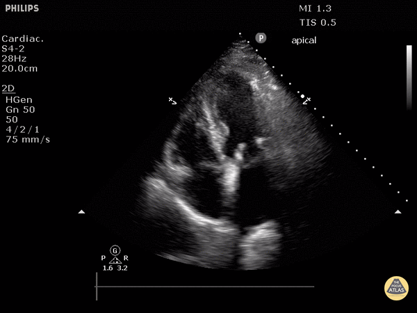
Valvulopathy - Prosthetic Mitral Valve (Apical 4 Chamber View)

← Back to List

Valvulopathy - Prosthetic Mitral Valve (Apical 4 Chamber View)

Caption

Justin Bowra MBBS, FACEM, CCPU Emergency Physician, RNSH et al.

Source

https://www.thepocusatlas.com/valvulopathy


Metadata