Valvulopathy - Mixed Aortic and Mitral Regurgitation

← Back to List

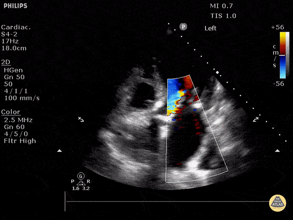
Valvulopathy - Mixed Aortic and Mitral Regurgitation

Caption

Mixed aortic and mitral regurgitation with color doppler. Justin Bowra MBBS, FACEM, CCPU Emergency Physician, RNSH et al.

Source

https://www.thepocusatlas.com/valvulopathy


Metadata