← Back to List
Justin Bowra MBBS, FACEM, CCPU Emergency Physician, RNSH et al. (Dr. Mo Haywood)
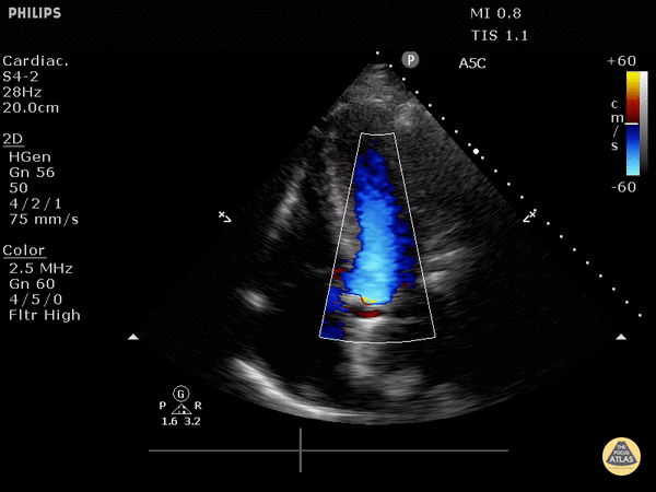
https://www.thepocusatlas.com/valvulopathy
View: Unspecified Parasternal Long Axis Parasternal Short Axis Apical Four-Chamber Subcostal Four-Chamber Subcostal Inferior Vena Cava Right Upper Quadrant Left Upper Quadrant Suprapubic Longitudinal Suprapubic Transverse Subxiphoid Anterior Thoracic Phrenic
Normal:
Tags:
Notes: