Bowel-GI - Hepatic Lesions (Incidental)

← Back to List

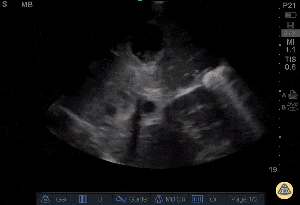
Bowel-GI - Hepatic Lesions (Incidental)

Caption

Incidental cystic and necrotic lesions seen throughout liver in a patient with hepatomegaly and abdominal pain on exam. Primary pancreatic CA (not shown). It is still difficult to have a poker face while finding surprise cancer with POCUS. Jason Tanguay, DO

Source

https://www.thepocusatlas.com/bowel


Metadata