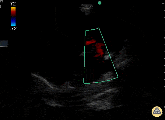
Valvulopathy - Moderate Mitral Regurgitation

← Back to List

Valvulopathy - Moderate Mitral Regurgitation

Caption

A mitral regurgitant jet is seen in this apical 4-chamber view that appears to be ~35-40% the area of the left atrium. This is most consistent with moderate MR though a more quantitative method such as PISA can be used for formal evaluation. Jason Tanguay, DO

Source

https://www.thepocusatlas.com/valvulopathy


Metadata