Valvulopathy - Mild Tricuspid Regurgitation
Caption
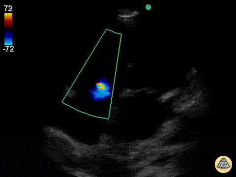
A narrow, central tricuspid regurgitation jet is seen on this apical 4-chamber view consistent with mild tricuspid regurgitation. Jason Tanguay, DO
A narrow, central tricuspid regurgitation jet is seen on this apical 4-chamber view consistent with mild tricuspid regurgitation. Jason Tanguay, DO