Valvulopathy - Aortic & Mitral Valve Vegetations

← Back to List

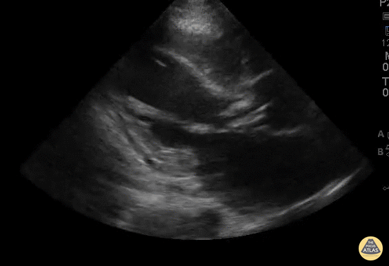
Valvulopathy - Aortic & Mitral Valve Vegetations

Caption

WCUME 2017 Submission for "Best POCUS" 40 year old male who presented with 1 week low grade fever and mild pedal edema and orthopnea. POCUS demonstrates a small vegetation on the anterior leaflet of the mitral valve as well as large vegetations on the aortic valve with obvious poor coaptation of valve leaflets. Dr. Peh Wee Ming - Singapore General Hospital

Source

https://www.thepocusatlas.com/valvulopathy


Metadata