Valvulopathy - Hockey Stick Sign
Caption
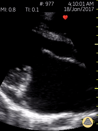
Mitral stenosis with mitral regurgitation with the classic MV "hockey stick" sign of rheumatic mitral valve disease. Dr. Gordon Johnson MD Internist Portland Oregon & Uganda
Mitral stenosis with mitral regurgitation with the classic MV "hockey stick" sign of rheumatic mitral valve disease. Dr. Gordon Johnson MD Internist Portland Oregon & Uganda