Valvulopathy - Severe Mitral Regurgitation

← Back to List

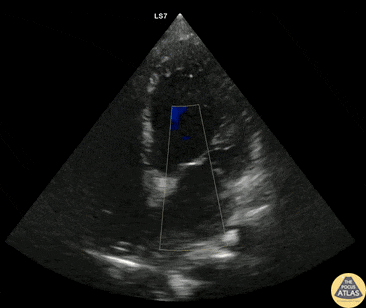
Valvulopathy - Severe Mitral Regurgitation

Caption

60s M with PMH ischemic cardiomyopathy and CHF presented with multiple episodes of syncope. The initial workup was unrevealing so POCUS was performed. These color doppler images demonstrate severe mitral regurgitation as seen as a multicolored retrograde jet from the mitral valve during systole. This patient was admitted for further workup of his syncope and telemetry monitoring given the structural heart disease and concern for underlying dysrhythmia. Dr. Nhu-Nguyen Le, Fellow Denver Health Ultrasound Fellowship

Source

https://www.thepocusatlas.com/valvulopathy


Metadata