Valvulopathy - Endocarditis in an Intravenous Drug User

← Back to List

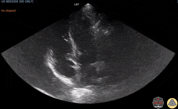
Valvulopathy - Endocarditis in an Intravenous Drug User

Caption

A careful look will show something extra on the mitral valve. Dr. Sarah Banks, Dr. Molly Thiessen - Denver Health Emergency Medicine

Source

https://www.thepocusatlas.com/valvulopathy


Metadata