Valvulopathy - MV Inflow Variation

← Back to List

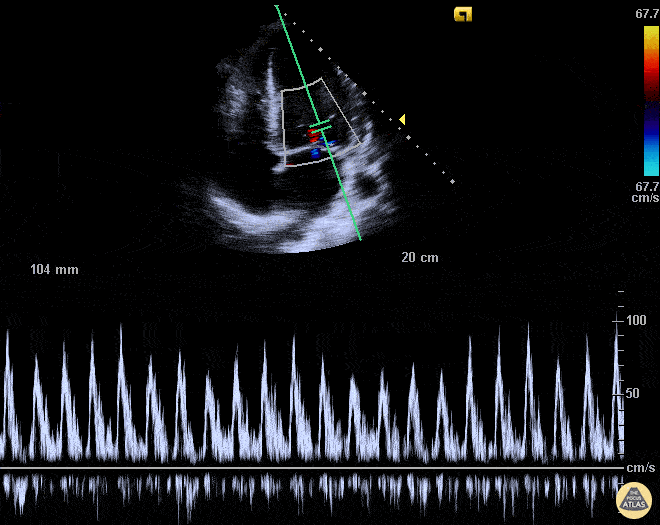
Valvulopathy - MV Inflow Variation

Caption

This patient presented with acute blood loss anemia and high output heart failure. Note the significant mitral valve inflow respiratory variation secondary to hypovolemia (not attributed to the trace pericardial effusion). This nicely illustrates potential mitral/tricuspid valve inflow variation in hypovolemic patients. Luka Petrovic, Chief Medical Resident Rutgers New Jersey Medical School @lukapetrovic89

Source

https://www.thepocusatlas.com/valvulopathy


Metadata