Valvulopathy - Functional MR in Heart Failure

← Back to List

Valvulopathy - Functional MR in Heart Failure

Caption

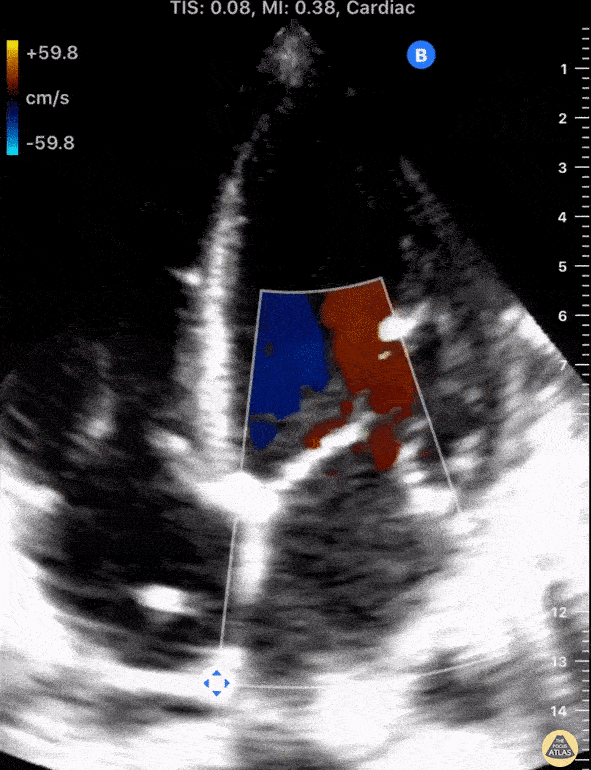
A 58-year-old male with ischemic cardiomyopathy and recently implanted AICD presented with subacute dyspnea without signs of volume overload on physical exam. Seen here is POCUS (apical four chamber view) notable for mitral valve regurgitation (MR) as demonstrated by the presence of a regurgitant jet. After excluding acute myocardial ischemia, patient was diagnosed with secondary (functional) MR due to heart failure. Separately, notice the hyperechoic lesion traversing the right atrium. In this patient it represents a segment of his AICD. The differential diagnosis, however, includes atrial thrombus and/or vegetation. Shahad Al Chalaby, MD. PGY3 Internal Medicine Highland Hospital. Alemeda Health System Internal Medicine Residency Program. CA, USA @shahad_Chalaby

Source

https://www.thepocusatlas.com/valvulopathy


Metadata