Valvulopathy - Mitral Valve Endocarditis

← Back to List

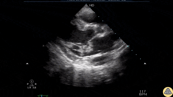
Valvulopathy - Mitral Valve Endocarditis

Caption

A patient presented to the ED with fever, sepsis, Janeway lesions, Osler nodes, and splinter hemorrhages. PLAX view revealed a vegetation on the mitral valve indicative of MV endocarditis. Image courtesy of Robert Jones DO, FACEP @RJonesSonoEM Director, Emergency Ultrasound; MetroHealth Medical Center; Professor, Case Western Reserve Medical School, Cleveland, OH View his original post here

Source

https://www.thepocusatlas.com/valvulopathy


Metadata