Valvulopathy - Tricuspid Regurgitation

← Back to List

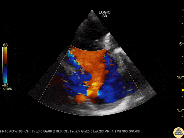
Valvulopathy - Tricuspid Regurgitation

Caption

A patient with IVC and hepatic congestion on CT also had a holosystolic murmur at the left lower sternal border, worsened with inhalation. POCUS revealed severe tricuspid regurgitation on parasternal short axis view with color doppler. Image courtesy of Robert Jones DO, FACEP @RJonesSonoEM Director, Emergency Ultrasound; MetroHealth Medical Center; Professor, Case Western Reserve Medical School, Cleveland, OH View his original post here

Source

https://www.thepocusatlas.com/valvulopathy


Metadata