Blog - Occult pneumothorax: tube or observe?

← Back to List

Blog - Occult pneumothorax: tube or observe?

Caption

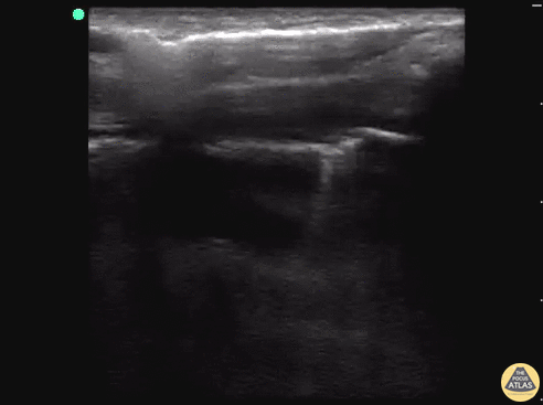
Another example of lung point from the POCUS Atlas Trauma section. Lung point indicates the transition point between normal pleura with normal lung sliding (on the left side of the image) and where there is air disrupting the pleural space with decreased lung sliding (on the right side of the image). Lung point is a highly specific finding indicating a pneumothorax. Dr. Sathya Subramaniam, Pediatric EM Fellow - Kings County/SUNY Downstate

Source

https://www.thepocusatlas.com/new-blog/2018/2/7/occult-pneumothorax-tube-or-observe


Metadata