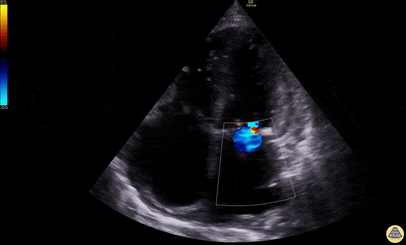
Valvulopathy - Mitral Regurgitation Jet

← Back to List

Valvulopathy - Mitral Regurgitation Jet

Caption

Mitral regurgitation, blue jet regurgitating into the atrium Dimitri Livshits DO, Ultrasound Fellow; Jane Belyavskaya MD, Ultrasound Fellow; Chris Hanuscin MD, Ultrasound Division Director (Kings County/SUNY Downstate)

Source

https://www.thepocusatlas.com/valvulopathy


Metadata