Pericardial Disease - Cardiac Tamponade in Apical 4-Chamber View

← Back to List

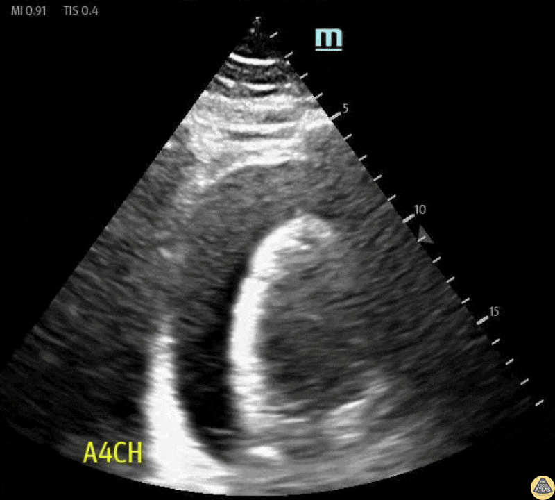
Pericardial Disease - Cardiac Tamponade in Apical 4-Chamber View

Caption

52 y/o male, with PMH of T2DM, HTN, Obstructive Sleep Apnea, and Hyperlipidemia presented to the Emergency Department with worsening SOB for 1 month. Bedside Cardiac US demonstrated large pericardial effusion. Patient was sent to the OR for an emergency pericardiocentesis with removal of 1.1 L of fluid. Contributors: Dr. Lauren Lowes, DO; Dr. Shivani Lohit, MD; Maya Eylon MS4 Central Michigan University College of Medicine, Emergency Medicine

Source

https://www.thepocusatlas.com/pericardial-disease


Metadata