Pericardial Disease - Parasternal Long Type A Aortic Dissection with Tamponade

← Back to List

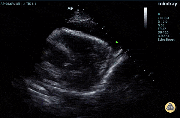
Pericardial Disease - Parasternal Long Type A Aortic Dissection with Tamponade

Caption

Elderly fellow who had a headache while bike riding, with some leg weakness. No chest or back pain. Stable for hours then came to hospital, suddenly hypotension and drowsy in ER POCUS RUSH Exam performed lead to rapid diagnosis of Aortic Dissection with tamponade. Right ventricular diastolic collapse can be seen. Claire Heslop - Pediatric Emergency Medicine - University of Toronto Hospital for Sick Children

Source

https://www.thepocusatlas.com/pericardial-disease


Metadata