Pericardial Disease - Cardiac Tamponade (Parasternal Short-Axis View)
Caption
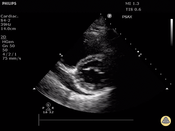
Parasternal short axis view demonstrating evidence of diastolic RV free wall collapse. Justin Bowra MBBS, FACEM, CCPU Emergency Physician, RNSH et al. (Dr. Orr)
Parasternal short axis view demonstrating evidence of diastolic RV free wall collapse. Justin Bowra MBBS, FACEM, CCPU Emergency Physician, RNSH et al. (Dr. Orr)