Bowel-GI - Floating Liver

← Back to List

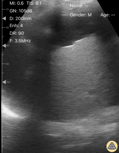
Bowel-GI - Floating Liver

Caption

A 59 year old male with known history of alcoholic cirrhosis presented with dyspnea. Physical exam was notable for a distended, non-tender abdomen. POCUS performed on the RUQ using the curvilinear probe revealed the liver “floating” within ascites. This highlights the importance of performing POCUS to guide procedures, as the patient subsequently warranted therapeutic paracentesis. Victor Bang, Emergency Clinician at Hospital das Clínicas de Marília. Co-Founder of Pocus Jedi @vmjbang

Source

https://www.thepocusatlas.com/bowel


Metadata