Pericardial Disease - Cardiac Tamponade
Caption
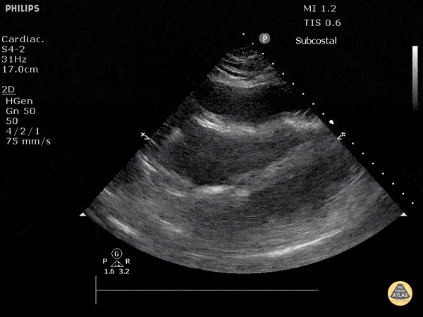
Subcostal view demonstrating signs of cardiac tamponade including right ventricular collapse during diastole. Justin Bowra MBBS, FACEM, CCPU Emergency Physician, RNSH et al. (Dr. Orr)
Subcostal view demonstrating signs of cardiac tamponade including right ventricular collapse during diastole. Justin Bowra MBBS, FACEM, CCPU Emergency Physician, RNSH et al. (Dr. Orr)