Pericardial Disease - Cardiac Tamponade in Apical View
Caption
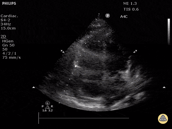
Apical view demonstrating rocking heart with diastolic collapse of RV free wall. Justin Bowra MBBS, FACEM, CCPU Emergency Physician, RNSH et al. (Dr. Orr)
Apical view demonstrating rocking heart with diastolic collapse of RV free wall. Justin Bowra MBBS, FACEM, CCPU Emergency Physician, RNSH et al. (Dr. Orr)