Pericardial Disease - Cardiac Tamponade in Stabbed Patient

← Back to List

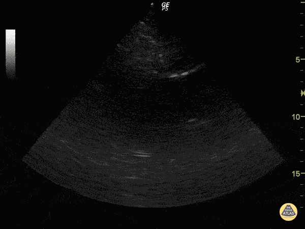
Pericardial Disease - Cardiac Tamponade in Stabbed Patient

Caption

Hematoma and relatively hypoechoic blood can be seen around the heart. Justin Bowra MBBS, FACEM, CCPU Emergency Physician, RNSH et al.

Source

https://www.thepocusatlas.com/pericardial-disease


Metadata