Pericardial Disease - Malignant Pericardial Effusion

← Back to List

Pericardial Disease - Malignant Pericardial Effusion

Caption

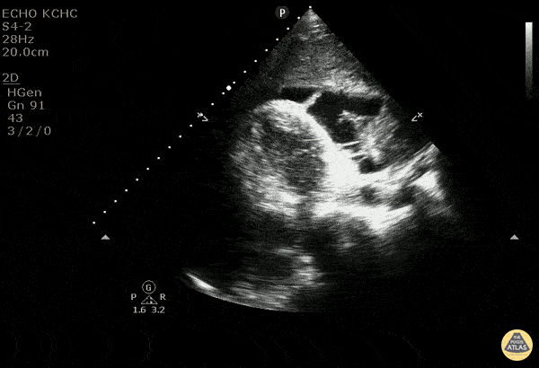
40 y/o F with 2-3 months of weight loss and new diagnosis of mediastinal mass. Sent from clinic for SOB. Patient initially tachycardic, tachypnic. EKG shows electrical alternans. US shows large hypoechoic area with mobile hyperechoic lines in an effusion concerning for fibrinous exudate/growth. There is no sign of end diastolic right ventricular collapse. Findings are consistent with a pericardial effusion with fibrin deposits without evidence of tamponande. For POCUS - the easiest assessment of tamponade is to look at end diastolic right atrial and ventricular collapse. Since the right side of the heart typically is at lower pressures, it will be the first to collapse from the pressure in the pericardium. It is easily measured with m-mode across the wall of the ventricle or atria. Bedside US is an amazing tool and can quickly and effectively show the hemodynamic status in pericardial effusion, so that the correct management can be done. Dr. Carolina Camacho, Taylor Surles, Michael Greisinger, and Scott Kendall - Kings County Emergency Medicine

Source

https://www.thepocusatlas.com/pericardial-disease


Metadata