Pericardial Disease - Cardiac Tamponade Parasternal Short

← Back to List

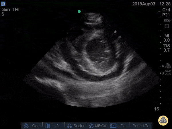
Pericardial Disease - Cardiac Tamponade Parasternal Short

Caption

41 yo M with history of stage 4 lung cancer presents with AMS and dyspnea, normotensive and tachycardic to 140s. Parasternal long view showed moderate pericardial effusion with RV collapse. With M mode we are able to see the RV wall collapse (top line) corresponds with the mitral valve opening i.e. it occurs during diastole. Even though the patient was normotensive he was taken to the OR for a pericardial window within the hour given this evidence of echocardiographic tamponade. Nathan Kabariti MS4, Dr. Charles Murchison, Dr. John Riggins, Dr. Donald Doukas - Kings County Emergency Medicine

Source

https://www.thepocusatlas.com/pericardial-disease


Metadata