Pericardial Disease - Aortic Dissection with Tamponade - Apical

← Back to List

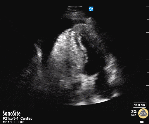
Pericardial Disease - Aortic Dissection with Tamponade - Apical

Caption

50 year old mandarin speaking man complains of vague central chest pain. You pursue a routine cardiac workup which is fairly normal. Upon discharging him, the nurse tells you his systolic in now in the 80's. Your RUSH exam and echo on this apical four demonstrate a pericardial tamponade with both: 1. Right ventricular DIASTOLIC collapse - dimpling of the right ventricular free wall during diastole while it should be filling 2. Right Atrial SYSTOLIC collapse - (but in atrial diastole) while the atrium should be filling Scroll to see the rest of the case for further images. Dr. Matthew Riscinti - Kings County Emergency Medicine, Dr. Benjamin Clearly - NYU Langone Emergency Medicine

Source

https://www.thepocusatlas.com/pericardial-disease


Metadata