Pericardial Disease - Aortic Dissection with Tamponade - Parasternal Long

← Back to List

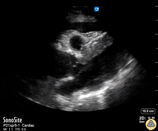
Pericardial Disease - Aortic Dissection with Tamponade - Parasternal Long

Caption

50 year old mandarin speaking man complains of vague central chest pain. You pursue a routine cardiac workup which is fairly normal. Upon discharging him, the nurse tells you his systolic in now in the 80's. You perform a RUSH exam - echo demonstrates a widened aortic outflow tract (well exceeding the rule of thirds) suggesting a Type A aortic dissection. You also see a pericardial effusion with right ventricular diastolic collapse. This is "the man jumping on the trampoline" or dimpling of the right ventricular free wall during diastole while it should be filling - clenching the diagnosis of tamponade. You better hope your CT surgeon is in house. Scroll to see the rest of the case for further images. Dr. Matthew Riscinti - Kings County Emergency Medicine, Dr. Benjamin Clearly - NYU Langone Emergency Medicine

Source

https://www.thepocusatlas.com/pericardial-disease


Metadata