Bowel-GI - Cirrhosis

← Back to List

Bowel-GI - Cirrhosis

Caption

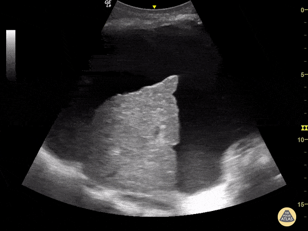
70-year-old man with a history of alcoholic liver cirrhosis. This RUQ view obtained with a curvilinear probe reveals a cirrhotic liver (reduced dimensions with irregular edges and an overall heterogenous echotexture) surrounded by significant ascites within Morison's Pouch. Renato Tambelli, Emergency Physician Hospital das Clínicas de Marília.Public Healthcare @R_Tambelli

Source

https://www.thepocusatlas.com/bowel


Metadata