Pericardial Disease - Exudative Effusion

← Back to List

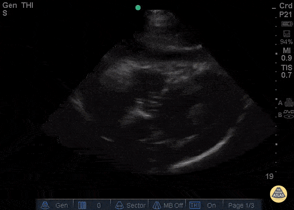
Pericardial Disease - Exudative Effusion

Caption

A 67y/o M PMH ESRD presented to the ED with recurrent sharp chest pain, cough, and fever that were reported during routine dialysis. He had been recently hospitalized for chest pain one week prior and diagnosed with pericardial effusion. Upon repeat presentation to the ED, the patient’s vital signs and examination were unremarkable. ECG showed diffuse PR depressions and ST elevations. PoCUS (cardiac subcostal view shown) demonstrated a circumferential, anechoic pericardial fluid collection with septations; there was no evidence of tamponade. The patient was started on indomethacin and colchicine and admitted to the CCU. A few days later, cardiothoracic surgery performed a pericardial window, drained 350 ml of serosanguinous fluid, and lysed multiple adhesions. Biopsied tissue revealed a thickened, inflamed pericardium with abscess and granulation tissue formation. Pericardial fluid testing was negative for bacteria, fungi, acid-fast bacilli, and malignancy. Emergency physicians can detect pericardial effusion with a sensitivity of 96% (95% confidence interval [CI] 90.4% to 98.9%), specificity of 98% (95% CI 95.8% to 99.1%).[i] High risk features that warrant hospital admission include temperature > 38°C, subacute course, large effusion (echo-free space > 20 mm), tamponade, and lack of response to aspirin or non-steroidal anti-inflammatory drug therapy; however, the etiology often remains a mystery. [ii] The presence of a loculated effusion on echocardiography may suggest the eventual need for surgical intervention with pericardiectomy or pericardial window.[iii] Dr. Ian Desouza - Kings County Emergency Medicine [i] Mandavia DP, Hoffner RJ, Mahaney K, Henderson SO. Bedside echocardiography by emergency physicians. Ann Emerg Med 2001;38:377-82. [ii] Imazio M, Cecchi E, Demichelis B, et al. Indicators of poor prognosis of acute pericarditis. Circulation 2007;115:2739-44. [iii] Imazio M, Spodick DH, Brucato A, Trinchero R, Adler Y. Controversial issues in the management of pericardial diseases. Circulation 2010;121:916-28.

Source

https://www.thepocusatlas.com/pericardial-disease


Metadata