Pericardial Disease - Pericardial Effusion and Rapid Atrial Fibrillation

← Back to List

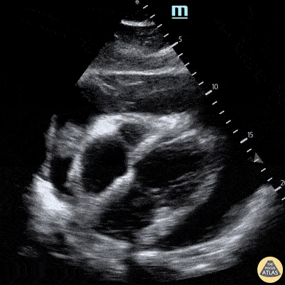
Pericardial Disease - Pericardial Effusion and Rapid Atrial Fibrillation

Caption

50 y/o male presented with 1 week of feeling generally unwell, tired and short of breath. Rapid atrial fibrillation was present in the department. POCUS performed demonstrating large pericardial effusion (note some evidence of diastolic collapse as well as partially complex-appearing pericardial fluid collection). Nishant Cherian Emergency Medicine Registrar

Source

https://www.thepocusatlas.com/pericardial-disease


Metadata