Pericardial Disease - Pericardial Effusion with Hematoma

← Back to List

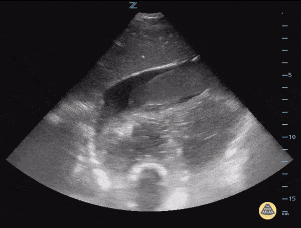
Pericardial Disease - Pericardial Effusion with Hematoma

Caption

This is a subcostal view of a patient presenting after a motor vehicle collision. The image demonstrates a pericardial effusion containing a large hypoechoic mobile structure concerning for hematoma. Image courtesy of IUEM Ultrasound Original Twitter post can be found here.

Source

https://www.thepocusatlas.com/pericardial-disease


Metadata