Pericardial Disease - Pericardial Effusion in Parasternal Short-Axis

← Back to List

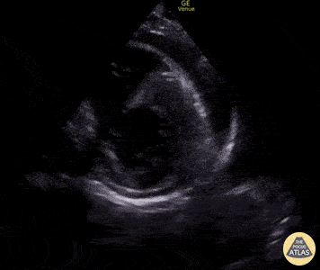
Pericardial Disease - Pericardial Effusion in Parasternal Short-Axis

Caption

Here is an example of relatively preserved myocardial function in the setting of a moderate-sized, circumferential pericardial effusion, as seen from the parasternal short-axis view. Edgar Miranda, MD

Source

https://www.thepocusatlas.com/pericardial-disease


Metadata