Pericardial Disease - Cardiac Tamponade in PEA

← Back to List

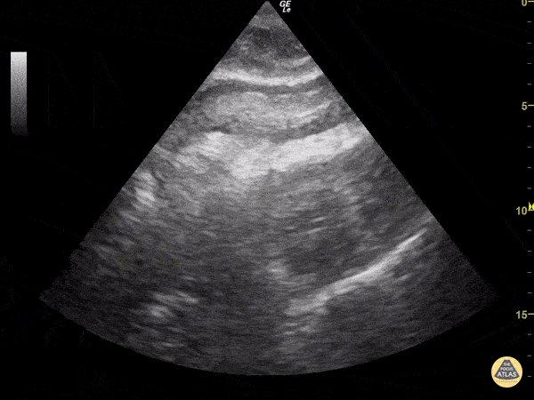
Pericardial Disease - Cardiac Tamponade in PEA

Caption

A 83-year-old woman comes to emergency department In cardiac arrest after an episode of severe chest pain. During pulse check we identified PEA (Pulseless Electrical Activity) and performed a CASA Exam. The subcostal view demonstrates a hyperechoic structure in the pericardial space concerning for clot. There is also evidence of cardiac tamponade. Image courtesy of Josiane Almeida

Source

https://www.thepocusatlas.com/pericardial-disease


Metadata