Pericardial Disease - Acute Pericarditis

← Back to List

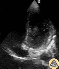
Pericardial Disease - Acute Pericarditis

Caption

A young male presented with 2-day history of chest pain. His ECG revealed diffuse ST segment elevation. He had an elevated but serially stable troponin level. POCUS excluded focal wall motion abnormality though was notable for the presence of a small pericardial effusion and a thickened, hyperechoic pericardium; consistent with his diagnosis of acute pericarditis. Renato Melo, Emergency Physician @Renato_Melo_

Source

https://www.thepocusatlas.com/pericardial-disease


Metadata