Pericardial Disease - Purulent Pericarditis

← Back to List

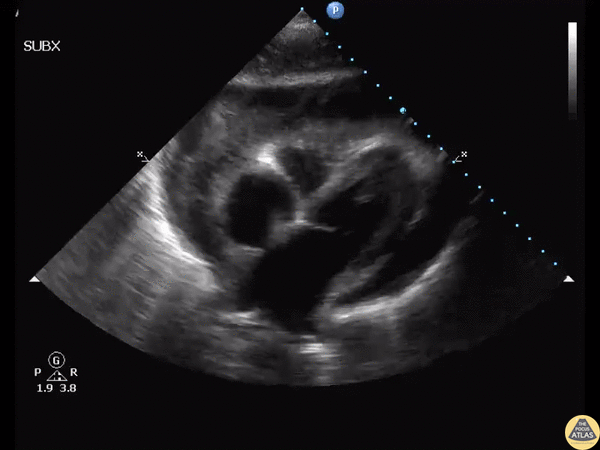
Pericardial Disease - Purulent Pericarditis

Caption

A male in his 20’s presented following failed community acquired pneumonia treatment with fever, chest pain, and soft vitals. Bedside ultrasound revealed purulent pericarditis visible in this subcostal window. CT showed LLL pneumonia with empyema. Image courtesy of Robert Jones DO, FACEP @RJonesSonoEM Director, Emergency Ultrasound; MetroHealth Medical Center; Professor, Case Western Reserve Medical School, Cleveland, OH View his original post here

Source

https://www.thepocusatlas.com/pericardial-disease


Metadata