Bowel-GI - SBO

← Back to List

Bowel-GI - SBO

Caption

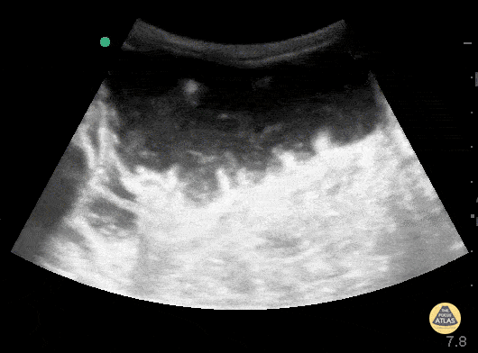
60 y/o M hx CHF, ventral hernia s/p repair p/w abdominal pain, nausea, vomiting without flatus. POCUS shows dilated fluid filled small bowel loops > 3 cm in size. There are signs of bowel wall edema with folds projecting into the lumen known as "piano sign" as well as alternating propulsive and retrograde movement of contents which is frequently described as "washing machine sign" typically seen in small bowel obstruction. Jaramillo, Juliana MD; Shah, Rushabh MD; Aherne, Andrew MD; Cutright, Molly MD.

Source

https://www.thepocusatlas.com/bowel


Metadata