Pericardial Disease - Constrictive Pericarditis

← Back to List

Pericardial Disease - Constrictive Pericarditis

Caption

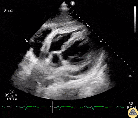
A young patient with a history of SLE presented to the ED with new onset HFpEF. A subcostal view revealed constrictive pericarditis with septal wall bouncing and a mild pericardial effusion. Image courtesy of Robert Jones DO, FACEP @RJonesSonoEM Director, Emergency Ultrasound; MetroHealth Medical Center; Professor, Case Western Reserve Medical School, Cleveland, OH View his original post here

Source

https://www.thepocusatlas.com/pericardial-disease


Metadata