Pericardial Disease - Hemopericardium

← Back to List

Pericardial Disease - Hemopericardium

Caption

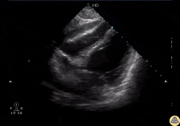
A young previously healthy male presented to the ED with a transmediastinal gunshot wound. FAST exam revealed hemopericardium on the subxiphoid window. Image courtesy of Robert Jones DO, FACEP @RJonesSonoEM Director, Emergency Ultrasound; MetroHealth Medical Center; Professor, Case Western Reserve Medical School, Cleveland, OH View his original post here

Source

https://www.thepocusatlas.com/pericardial-disease


Metadata