Pericardial Disease - Uremic Pericarditis

← Back to List

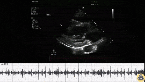
Pericardial Disease - Uremic Pericarditis

Caption

PLAX view in a patient who presented to the ED after missing several scheduled dialysis sessions reveals a small pericardial effusion with a pericardial friction rub on exam. Image courtesy of Robert Jones DO, FACEP @RJonesSonoEM Director, Emergency Ultrasound; MetroHealth Medical Center; Professor, Case Western Reserve Medical School, Cleveland, OH View his original post here

Source

https://www.thepocusatlas.com/pericardial-disease


Metadata