Pericardial Disease - Intrapericardial Hematoma

← Back to List

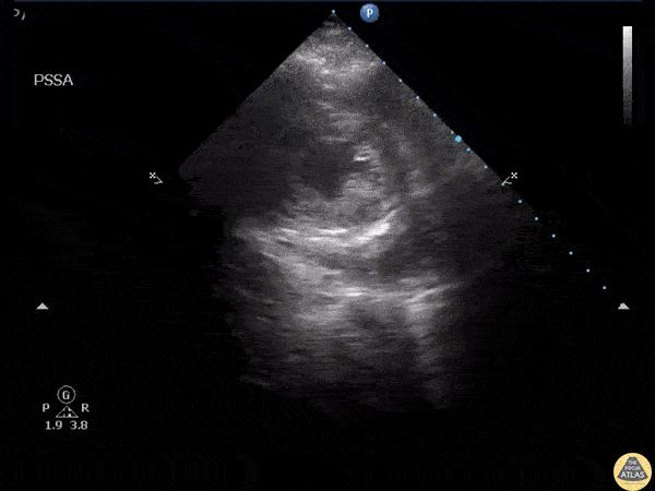
Pericardial Disease - Intrapericardial Hematoma

Caption

Parasternal short axis view of a Post-CABG intrapericardial hematoma. Image courtesy of Robert Jones DO, FACEP @RJonesSonoEM Director, Emergency Ultrasound; MetroHealth Medical Center; Professor, Case Western Reserve Medical School, Cleveland, OH View his original post here

Source

https://www.thepocusatlas.com/pericardial-disease


Metadata