Pericardial Disease - Ascitic Fluid on Subcostal View

← Back to List

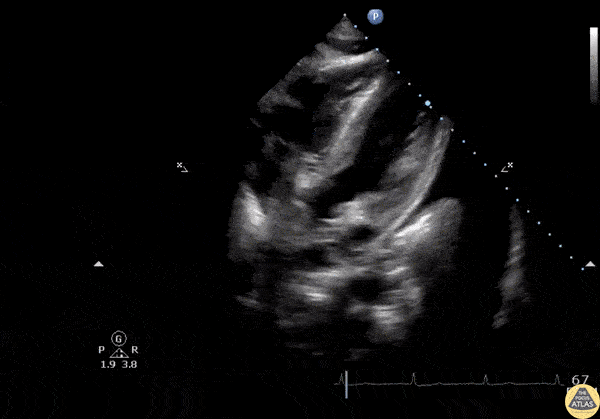
Pericardial Disease - Ascitic Fluid on Subcostal View

Caption

This subcostal view shows a patient with ascites, a small pericardial effusion, and a left sided pleural effusion. When suspecting a pericardial effusion, always ensure which side of the diaphragm the fluid presents. Image courtesy of Robert Jones DO, FACEP @RJonesSonoEM Director, Emergency Ultrasound; MetroHealth Medical Center; Professor, Case Western Reserve Medical School, Cleveland, OH View his original post here

Source

https://www.thepocusatlas.com/pericardial-disease


Metadata