Pericardial Disease - Hemopericardium

← Back to List

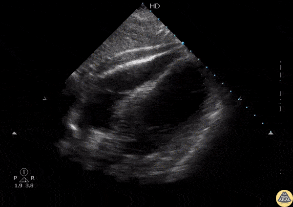
Pericardial Disease - Hemopericardium

Caption

POCUS revealed isoechoic fluid within the pericardium indicative of a hemopericardium in a patient suffering from a gunshot wound. Image courtesy of Robert Jones DO, FACEP @RJonesSonoEM Director, Emergency Ultrasound; MetroHealth Medical Center; Professor, Case Western Reserve Medical School, Cleveland, OH View his original post here

Source

https://www.thepocusatlas.com/pericardial-disease


Metadata