← Back to List
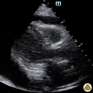
Seen here is a parasternal long axis view of a patient with cardiac tamponade. Francisco Norman
https://www.thepocusatlas.com/pericardial-disease
View: Unspecified Parasternal Long Axis Parasternal Short Axis Apical Four-Chamber Subcostal Four-Chamber Subcostal Inferior Vena Cava Right Upper Quadrant Left Upper Quadrant Suprapubic Longitudinal Suprapubic Transverse Subxiphoid Anterior Thoracic Phrenic
Normal:
Tags:
Notes: