Pericardial Disease - Traumatic Tamponade

← Back to List

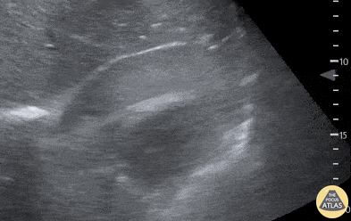
Pericardial Disease - Traumatic Tamponade

Caption

27-year-old woman presents with gunshot wound to right chest. Patient phonating on arrival but tachycardic in 150s with BP 60/palp. EFAST revealed pericardial effusion with hematoma and near complete RV diastolic collapse, consistent with cardiac tamponade. Decision was made to take patient directly for OR thoracotomy based on EFAST findings. Patient lost pulses for 10 sec intra-operatively prior to receiving pericardial window. ROSC was achieved with removal of pericardial hematoma. LV laceration was identified and repaired. LAD laceration identified for which patient received emergent CABG by CT surgery. Patient was successfully extubated the next day, discharged one week later. EFAST aids in rapid diagnosis and expedites care in hemodynamically unstable trauma patients. POCUS is a useful tool for determining etiology of undifferentiated shock. Quinn Fujii DO, William Hamrick DO, Ulysses Garcia DO, Robert Rigby DO Desert Regional Medical Center, Emergency Medicine

Source

https://www.thepocusatlas.com/pericardial-disease


Metadata