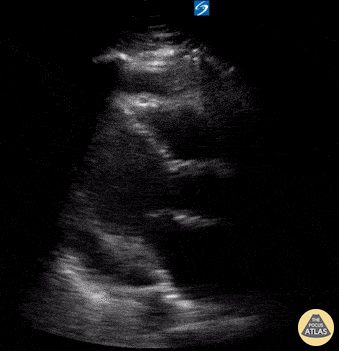
Pericardial Disease - Circumferential Pericardial Effusion
Caption
Seen here is a circumferential pericardial effusion identified in a patient without hemodynamic evidence of tamponade. Moudi Hubeishy @moudihubeishy
Seen here is a circumferential pericardial effusion identified in a patient without hemodynamic evidence of tamponade. Moudi Hubeishy @moudihubeishy